Elementary Lesions

Honeycombing

Characteristics

  •  Clustered cystic airspaces with well defined walls, measuring 2-10 mm in diameter, sometimes reaching 25 mm, usually in subpleural regions 

Diagnostic Orientation

  • Intralobular reticulation

  • Traction bronchiectasis and bronchiolectasis

  • Loss of lobar volume

  • Fissured distortion

1. Honeycombing

Honeycombing
Honeycombing

Subpleural honeycombing forming several layers of cysts in a 73-year-old man with usual interstitial pneumonia.

2. Honeycombing

Honeycombing
Honeycombing

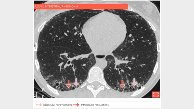
69-year-old man with usual interstitial pneumonia. Subpleural honey combing is associated with reticular pattern.

3. Honeycombing

Honeycombing
Honeycombing

Sagittal reformation in the same patient showing the preferential subpleural and basal distribution.

4. Honeycombing

Honeycombing
Honeycombing

56-year-old man with history of sarcoidosis. Typical honeycombing in a upper lobe distribution.

5. Honeycombing

Honeycombing
Honeycombing
  • Coronal reformation in the same patient shows the association of honeycombing and reticulation in lung apices.
  • Distribution of fibrosis to apices makes this fibrosis incompatible with UIP.